顎関節症患者として、そして歯科医師として
私は歯科医師ですが、同時に顎関節症に悩む一人の患者でした。
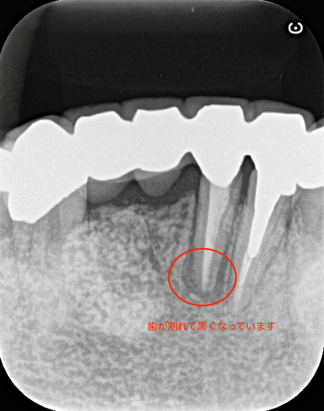
これは私自身の歯です。

私は最初に大学病院で治療を受けましたが、のちに細菌感染により根管治療をすることとなりました。原因は今にして思えば、ラバーダムなしの治療にあったのではないかと感じています。その後、別の歯科医院で口腔外科の手術を受けましたが結局、抜歯となったり、別の歯が破折を起こしたりと歯のトラブルが続きました。

勿論これは病院や医師の技量だけではなく、私が治療を受けた20年以上前の技術や材料が現在よりも劣っていたことにも原因があると思います。しかし治療を受けた当時、すでに歯科医師であった私でさえもこのような経験をしているということは、一般の患者さんにおいて良い歯科医師を探すことは、なかなか厳しいことと感じます。
名取歯科医院では常に新しい技術や素材について知識を得ることを心がけています。そして、それらの技術や知識、どのような治療法が患者さんに対してよりよい治療であるのかを考え続けることを大切にしています。
患者さんにとって、より良い歯科医師、歯科医院であり続けるために私たちは常に研鑽を積み、専門家として責任ある治療計画の提言と最善の治療をおこなうことを約束します。




