DTR治療(咬み合わせ治療)でメニエール病を改善
30代 / 男性 2025年4月24日 公開

治療費用
¥385,000
治療ステップ
検査

この患者さんは”DTR治療によってメニエール病が改善したという論文”を読まれて名取歯科医院に来院されました。
母国スペインで耳鼻科に通院されていましたが全く改善がみられず、耳鼻科の先生から「歯科で治せるのではないか」と助言を受けて、歯科を調べる中で名取歯科医院を見つけられたとのことでした。
この論文の投稿をした歯科医師は、私の師事する先生でもあるアメリカのDr.Ben Sutter です。Dr. Sutter のグループには私自身も所属しているため、そこから名取歯科医院ににたどり着いたようです。
https://www.digitalocclusionseminars.com/dtr-providers.html

現状と治療計画
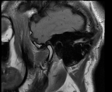
初診時には、デンタルドックという精密検査を行い、MRI撮影(左右)、レントゲン、口腔内写真などを確認しましたが、歯科的な問題は咬み合わせ以外には見られませんでした。
診断、治療計画の中ではMRI画像から軟骨が前方にずれているのが唯一確認出来ます。



術前のT-scanで、咬み合わせとしては奥歯に力が偏っているのが確認できます。しかし、患者さんご本人にはその違和感や症状を自覚されていませんでした。
T-scan による検査を行ったことで、咬み合わせに問題があることがわかりましたが、その他の検査では異常は見られませんでした。
この段階で「問題のない歯を削るかどうか」という点を患者様と相談し、「メニエール病が少しでも改善するのであれば、歯を削っても構わない」とご同意をいただいた上で、治療に進むこととなりました。

治療
治療セオリーに従ってDTR治療を3回行った結果、今まで症状としてあったメニエール病が治り、正直ここまでの結果になるとは予想していなかったため、私自身も非常に驚きました。
※すべての患者様に同様の結果が得られるとは限りません。

メニエール病と咬合の関係
デジタル機器T-scanでを用いて咬合調整治療を施すとメニエール病の症状が改善するという論文が、私の先生でもある Dr. Ben Sutter (米 歯科医師)が発表しました。
この論文では耳鼻科でメニエール病と診断された患者が対象で、その多数の患者が咬合治療後に改善が見られたという内容です。歯科医師や医師は専門性が高い分、ご自分の領域しかフォーカス出来ないという事もあります。しかし人間は様々な器官や組織が携わっていますので、ロボットのようにきっちりと範囲を分けるという事が出来ません。
この画像のように黄色い矢印は耳の中、耳管を指しておりますし赤い矢印は顎関節を指しており非常に近接しています。
咬み合わせに不具合があると(患者さんにもわからない感覚)顎関節に力が掛かってくることで、その力が耳に何らかの影響をもたらす可能性も排除できません。
私はこのことから顎関節のMRI撮影を行い患者さんの顎関節が正しい位置にあるかどうか?という確認を毎回しております。MRIを確認すると、顎関節の中の軟骨(関節円板)がずれている方に、このような症状が多いと思われます。
私のところにもこの論文を読んだ患者さんがお越しになり、歯には何も問題はありませんがメニエール病を治す可能性に掛けて、咬合調整をしている患者さんがおります。
結果として完全にメニエール病が治ったという患者さんもいらっしゃいますし、また80%程度メニエール病が改善したという患者さんもいます。症状の改善は患者さんの状態によりますが、原則として患者さんは改善傾向を示している事に私も正直驚いています。
治療費
| デンタルドック | ¥55,000 | 1 | ¥55,000 |
| DTR治療 | ¥330,000 | – | ¥330,000 |
| 合計 | ¥385,000 | ||





