歯列矯正後の噛み合わせに不調と顎関節症を再治療
30代 / 男性 2025年9月19日 公開

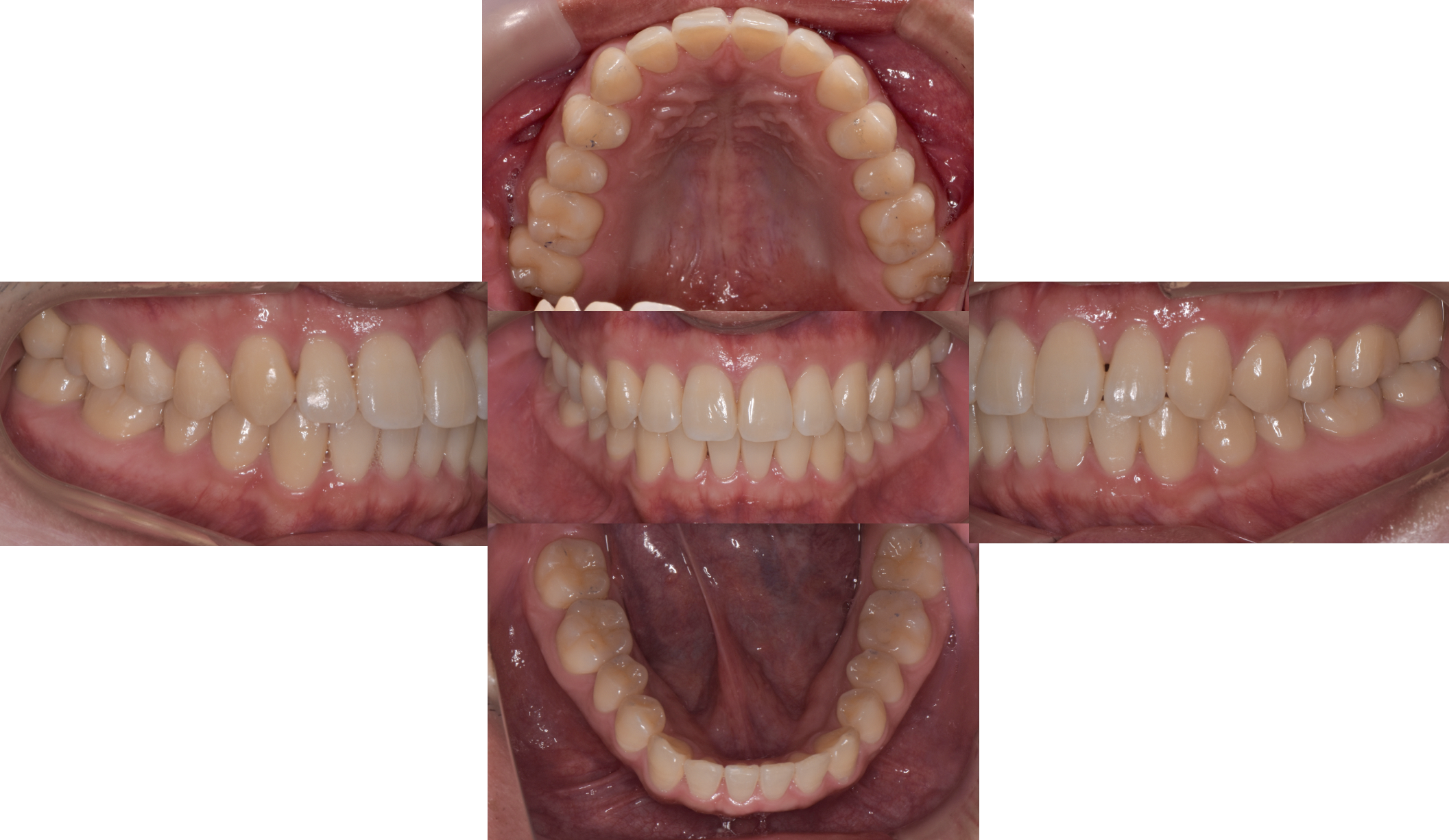
治療前

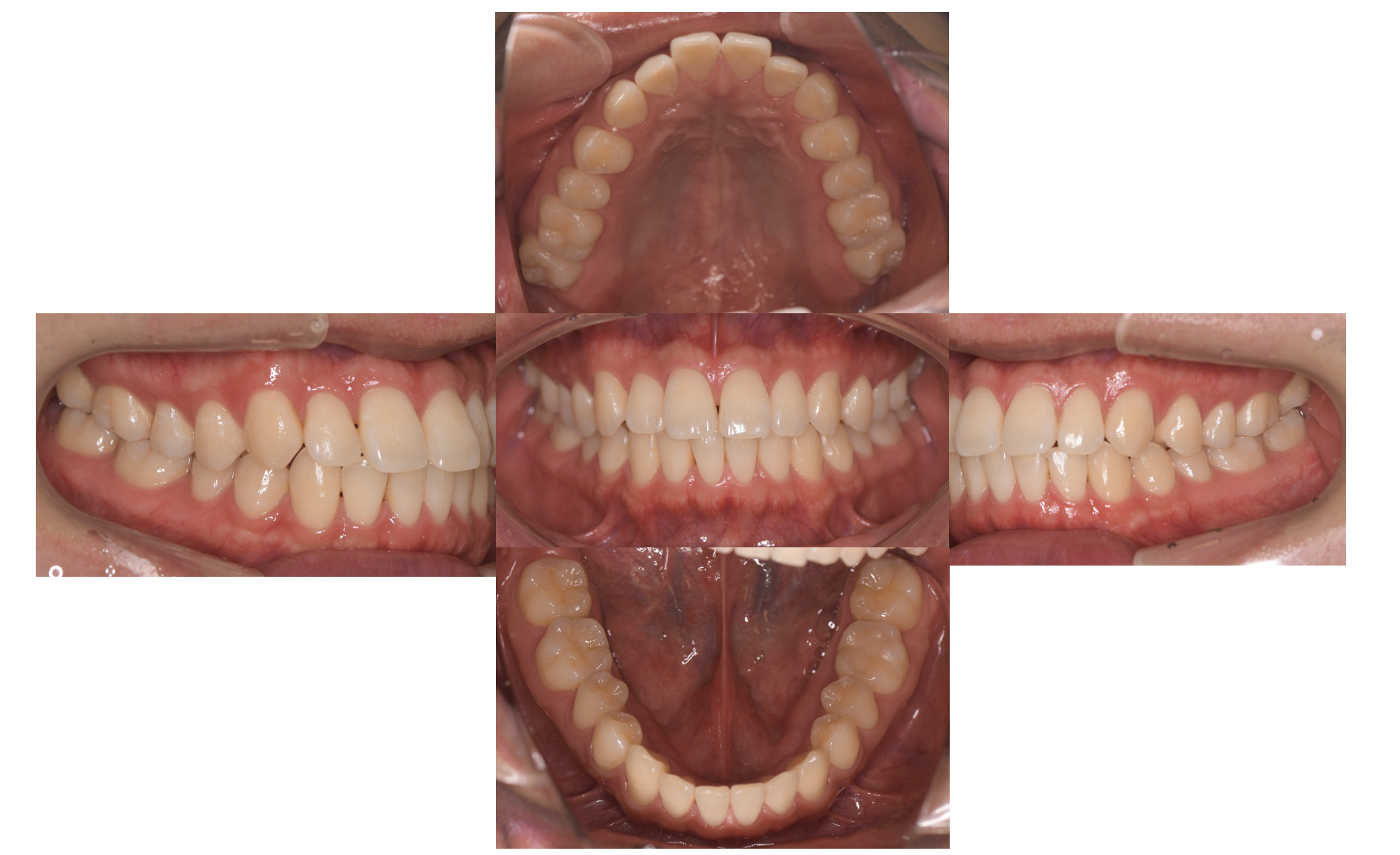
治療後
治療費用
¥1,330,000
治療ステップ

初診時
噛めないということを主訴にご来院されました。ただパッと見るとどこが噛んでいないのだろうと言うくらい綺麗な歯をされています。デンタルドックによる精密検査の結果、動画で解説しているように、口腔内写真をみると歯に隙間があったり、所々咬んでいないところも確認できます。ただし口腔内写真だけでは、どの歯がどのように、どんな強さで当たっているのかがわかりません。

現状と治療計画

パノラマレントゲン写真ですが、ご覧のおり歯そのものには特に問題ありません。それどころかこの患者さんは素晴らしい歯とお口をしています。全ての歯の神経が残っているんですね。大体、歯医者さんに来る患者さん何処かしら歯の神経を取ってあります。そして健康な歯と歯ぐきも保っている、とてもデンタルIQの高い患者さんということがわかります。
ただし顎の骨に左右差があり、高さがちょっと違います。これも噛み合わせ不調の原因の一つとなっています。


これは顎関節の MRI 画像です。歯科医院の矯正治療、また噛み合わせ治療で撮影することが一般的でないためご覧になったことが無い患者さんもいると思います。ただし顎関節の軟骨の状態を確認するためには MRI は必要なものです。皆さんも股関節、膝関節、肘関節で外傷や痛みがあったときに当然 MRI の精密検査があるはずです。こう考えると顎の「関節」の治療だけレントゲンや CT のみで済ませてしまう不誠実さを実感頂けると思います。
左側の顎関節画像の黄色い矢印は軟骨です。画像診断(読影)をすると顎関節に載っているはずの軟骨が前方にズレでいることがわかります。このように前方にズレることで、咬み合わせに影響が表れます。ただし歯科医院で一般的なレントゲンや CT は原則的に固いもの(骨)を映し出す検査機械ですので、軟骨や筋肉などの軟組織を正しく映し出すことができません。そのために顎関節治療では MRI が不可欠なのです。

これは T-scan という噛み合わせと、その噛み合わせの力をデジタルで計測して記録する専用機器です。ご覧のとおり奥歯の部分に赤いグラフが塔のように立っていることが分かると思います。このように奥歯に噛む力が(特に右側に)偏っていることを患者さんご自身が目で見て理解できます。

インビザラインによ再矯正

前医によって間違った歯並びに矯正されてしまっていたため、マウスピース型矯正(インビザライン)で適正な位置に歯を動かす再治療をおこないました。ただし再矯正後に、T-scan でデータ計測をしたところ、奥歯にまだ強い力が加わっていることが確認出来ます。

このように矯正治療だけで歯並びと噛み合わせが改善することは稀で、ネット広告やホームページに溢れている矯正治療で噛み合わせが治ったというのが、幾つかの間違いや嘘を含んでいることがお分かり頂けると思います。

DTR (噛み合わせ)治療

再矯正を経て以前より歯が適正位置となったこのタイミングで T-scan を使ったDTR (噛み合わせ)治療を行いました。これは数マイクロ(ミリではありません)単位で歯を擦り合わせながら T-scan で検証し、これを繰り返していく噛み合わせ治療です。一般的には咬合調整を呼ばれるものですが、赤と青のリボン紙でカチカチと印をつける方法でなくご覧のようにデジタルで力を計測しながら咬合調整をおこなうのが、DTR (噛み合わせ)治療の大きな違いです。
このように DTR治療後の T-scan データをみると治療前に比較し全体が均等に咬み合っているのがお分かり頂けると思います。
患者さんは今回のマウスピース型矯正(インビザライン)による再矯正、DTR (噛み合わせ)治療を受けた3ヶ月後には、データ上だけではなく快適に咬め、それが安定していることを実感できたそうです。また従来からお悩みであった耳管開放症の症状が自覚できないほどに改善したとの事でした。あくまで耳管開放症の改善は副次的な変化ですが、このように正しい噛み合わせと顎関節治療は体のさまざまな箇所に影響します。
治療費
| インビザライン | ¥1,000,000 | 1 | ¥1,000,000 |
| 咬合治療(Tスキャン、DTRセラピー) | ¥330,000 | 1 | ¥330,000 |
| 合計 | ¥1,330,000 | ||




