噛み合わせと顎の痛みを解消した包括的インプラント治療
50代 / 男性 2025年2月12日 公開

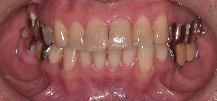
治療前

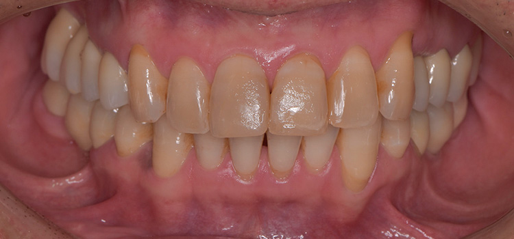
治療後
治療費用
¥4,750,000
治療ステップ
検査

この患者さんは50代の男性で、若い時から様々な歯科治療をなさり、それに伴って抜歯をされたり、咬めなくなったそうです。そのなかで徐々に咬む位置がが分からなくなってきたとい言うお悩みで名取歯科医院にご来院されました。
顎関節の精密検査を行うと顎の状態も左右で異なり、咬み合わせもズレが大きくなったことで歯が欠けるなど、不調の理由がわかりました。



現状と治療計画
顎関節の軟骨(関節円板)がずれ、それに伴って咬み合わせが変化しても当時の歯科医師が適切な咬み合わせ(咬合調整)しなかったため、そのストレスが長年にわたり顎関節に影響し、痛みを生じてきたと検査から考えられました。
精密検査の中で「T-scan」という咬み合わせの専用の機械を使って診断すると、奥歯以外ではしっかり咬む箇所がなく、明らかに咬み合わせのバランスが良くありません。


治療
全顎的に複数の治療部位で、インプラント・ブリッジ・ダイレクトボンディング・セラミッククラウンなど、適切な治療方法を組み合わせて包括的な治療を進めました。




治療を終えた「T-scan」による咬合調整後の患者さんの感想を伺うと「とても良く咬め、インプラントが入っていても全く違和感を感じない」という事でした。このようにデジタルで計測される客観的なデータと患者さんこそが一番感じるご自身からの体の声を一体化させる治療が大切です。

この「T-scan」はインプラント治療にも応用できる点が他の計測装置との違いの一つです。「I-24」と表示されているのはインプラントが埋入されている表記で、そこに他の歯と同じ力が掛かっている事を示しています。これは通常のリボン紙(咬合紙)では全くわかりません。このように天然歯、補綴歯、インプラント治療歯の力の違いを把握すれば、インプラントに掛かる力による治療後のトラブルを回避出来ると考えます。
このようにデジタル技術を適切に活用することで、患者さんのメンテナンスに役に立てることができます。

治療後





治療費
| インプラント手術 | ¥260,000 | 3 | ¥780,000 |
| インプラント上部構造体 | ¥400,000 | 3 | ¥1,200,000 |
| ダイレクトボンディング | ¥60,000 | 3 | ¥180,000 |
| ジルコニアセラミッククラウン | ¥200,000 | 11 | ¥2,200,000 |
| 咬合治療(Tスキャン、DTRセラピー) | ¥330,000 | – | ¥330,000 |
| 合計 | ¥4,750,000 | ||




