顎関節症をデジタル咬み合わせ治療とインプラント治療で改善
40代 / 男性 2025年4月24日 公開

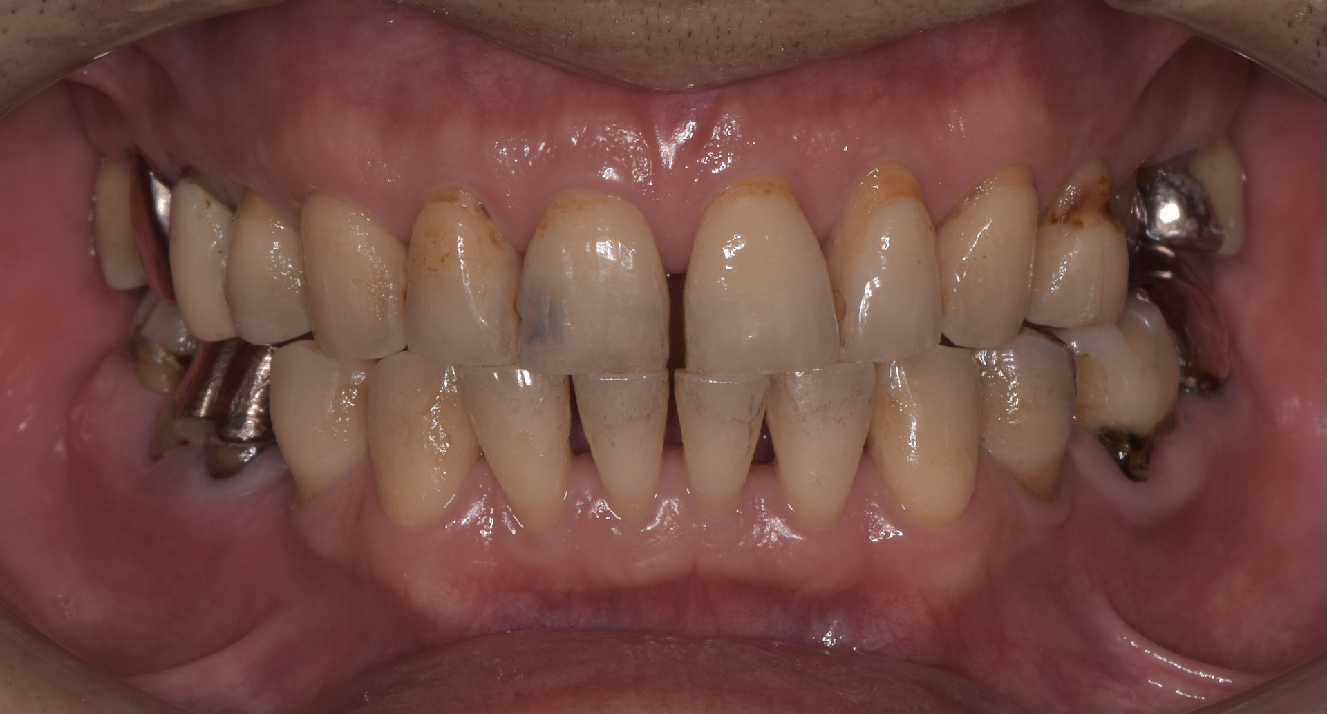
治療前

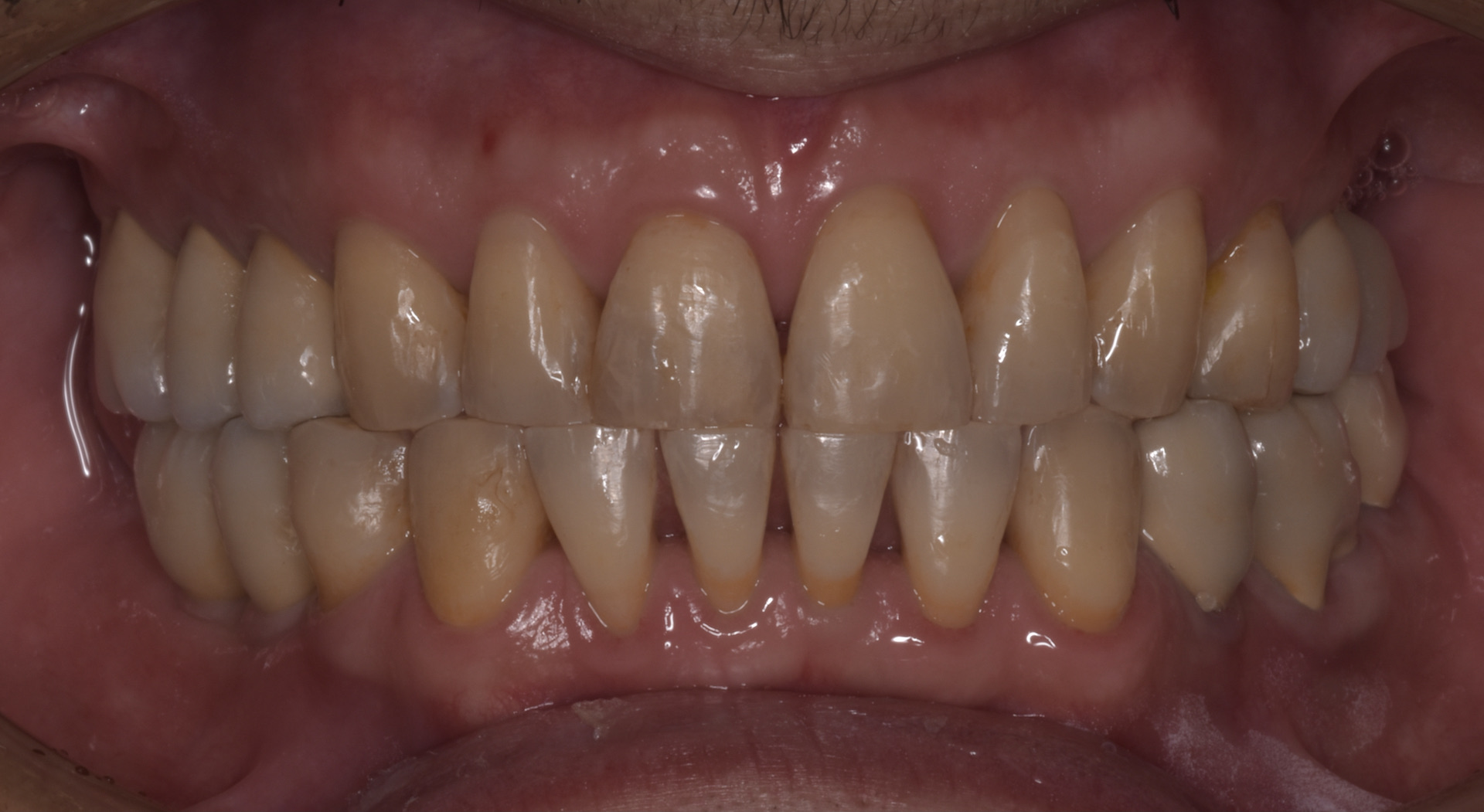
治療後
治療費用
¥3,885,000
この患者さんは長年、首都圏の顎関節専門医のもとに通院しておられたそうです。この専門医の治療は従来のスプリントによる顎関節症治療でした。しかし、治療期間が長くなっても全く改善の兆しが無いため、紹介にて名取歯科医院に来院されました。
治療ステップ

検査

この患者さんは長年、首都圏の顎関節専門医のもとに通院しておられたそうです。この専門医の治療は従来のスプリントによる顎関節症治療でした。しかし、治療期間が長くなっても全く改善の兆しが無いため、紹介にて名取歯科医院に来院されました。

現状と治療計画
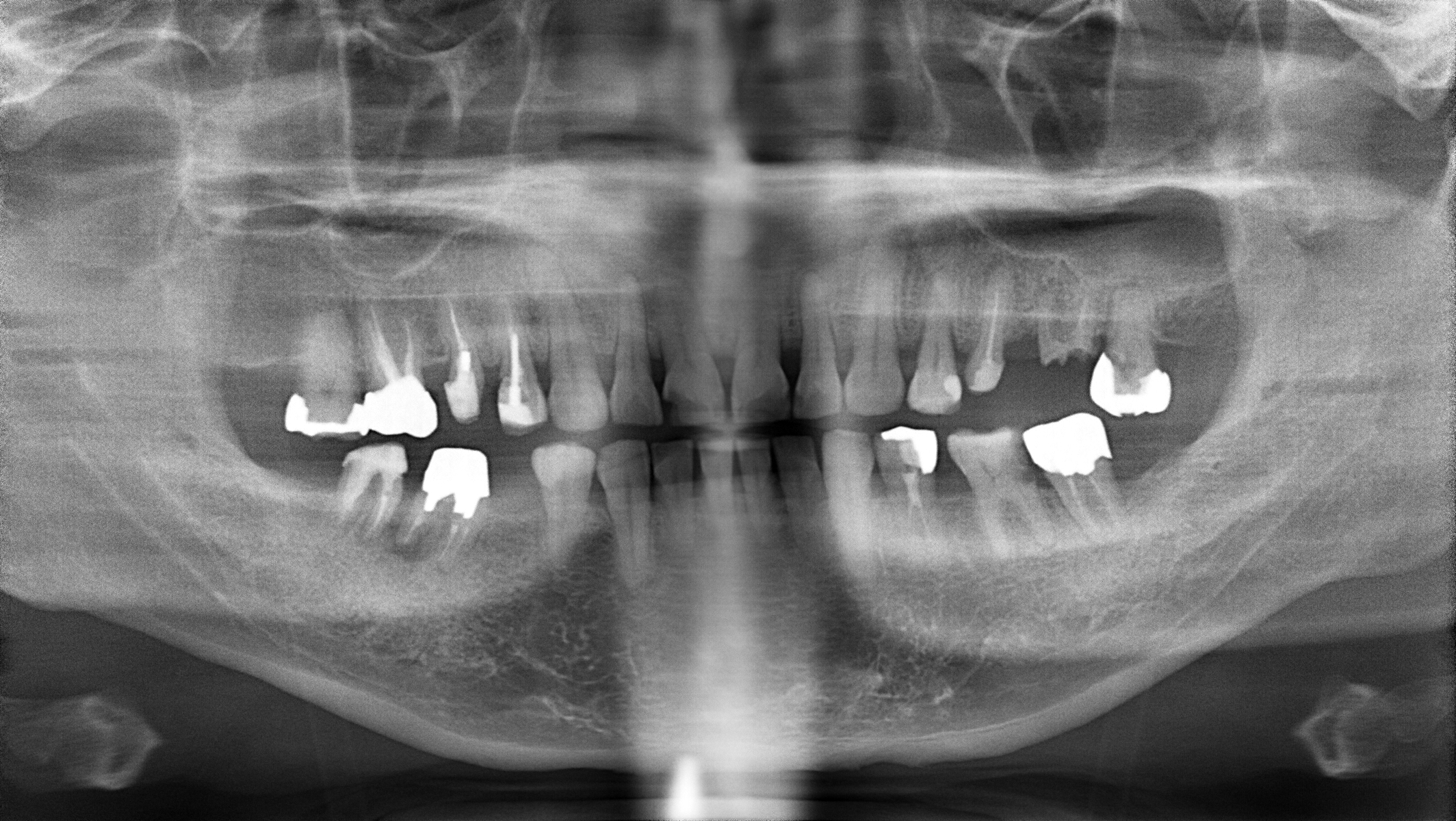
顎関節症の患者さんには、デンタルドック(精密検査)を通して、MRI画像診断とデジタル咬み合わせ検査(T-Scan)を行って治療方針を決定致します。


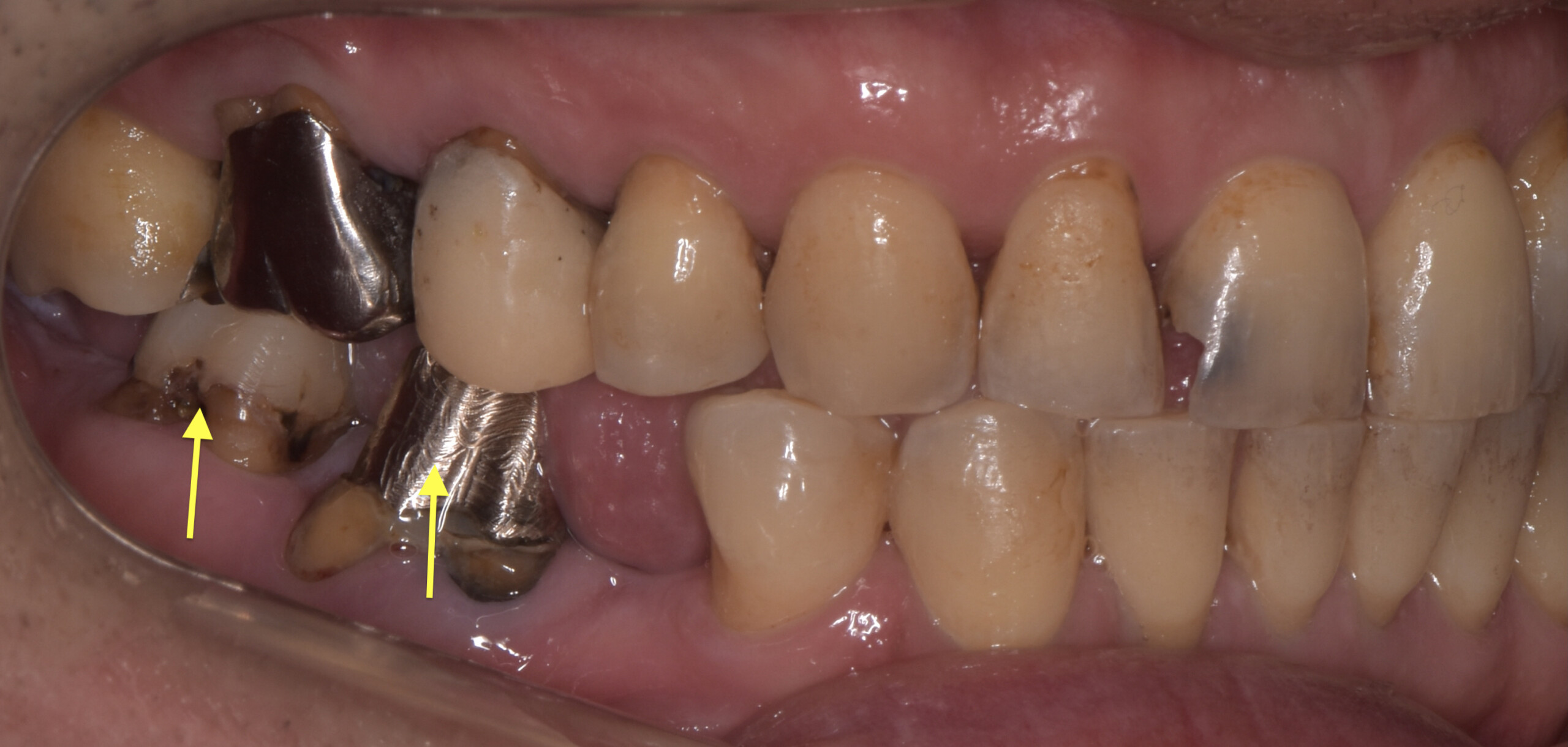
治療前画像の黄色い矢印の歯が非常に強く当たっていることが、デジタルによる画像からもわかります。そこでその歯を抜歯をすることで顎関節の症状が無くなるのではないか?という予測を立てました。



同時にこの歯は大きな虫歯が全く治療されていない事、また破折を起こしていたため結果的に抜歯という選択肢は、虫歯治療という側面からも整合性をもっています。

治療中



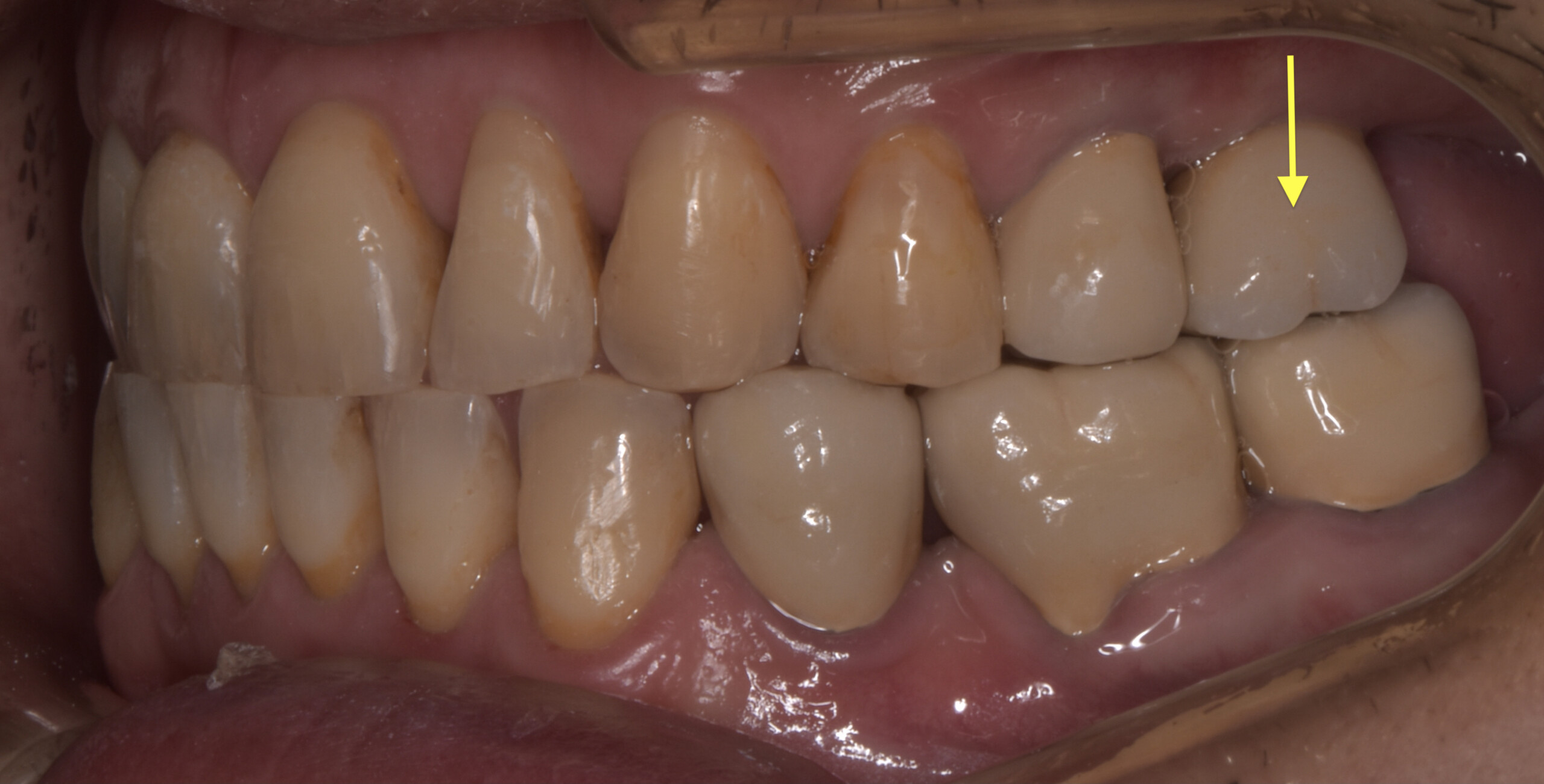
最終のクラウンをセットし咬み合わせのチェックをデジタル機器で行ったところ、患者さんが自覚できない当たりが左奧に見つかりました。黄色の矢印I-26です。
この赤マークが付いているという事はインプラントに負荷が掛かっているという証拠です。

治療後


抜歯後は私の予測通り、長年治らなかった顎関節の症状が全く消失しました。つまり今までの顎の痛みの原因は、咬み合わせが原因という事になります。
原因がわかり理解出来れば歯が無い箇所はインプラント治療を行い、精密な虫歯治療の後にセラミック治療を行って正しい咬み合わせを構築しました。
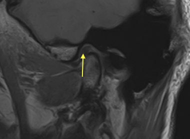
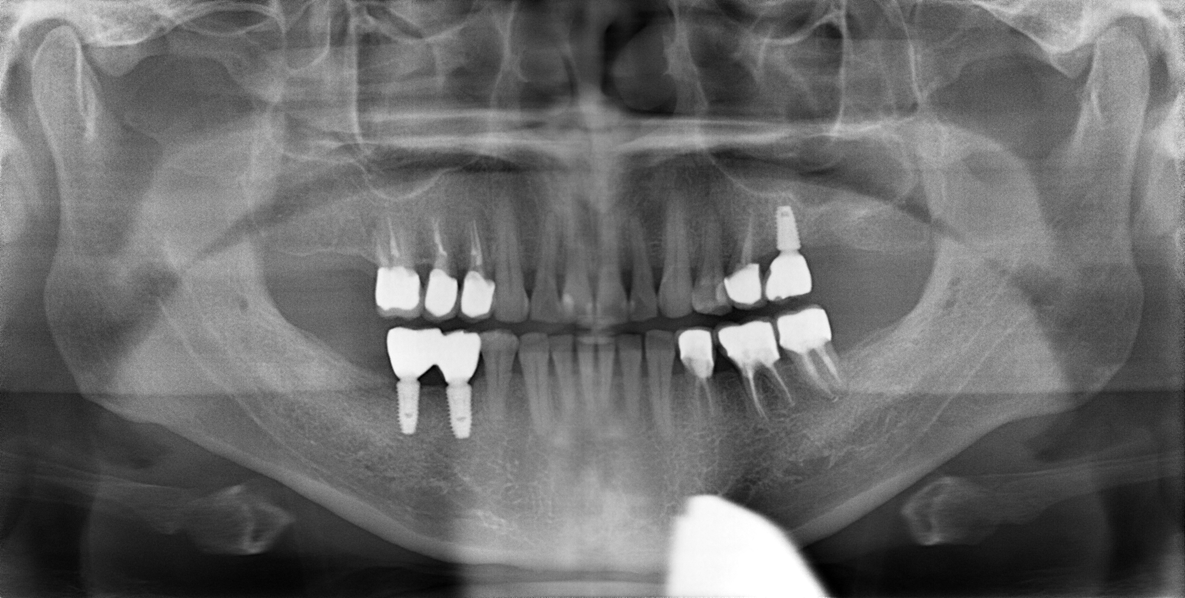
しかしMRI撮影で軟骨(黄色い矢印)がずれているのを確認していますので、やはり咬み合わせの長期安定を得るのは難しいと思われます。

T-Scanを使って咬み合わせの調整をしてすべての歯が均等に当たるように治療を致しました。この治療のように咬む力で問題が起こっている場合には、デジタル機器をきちんと用い、データを採りながら患者さんの咬んだ印象も参考にして治療を進めていくのは大切な事です。
治療費
| デンタルドック | ¥55,000 | 1 | ¥55,000 |
| T-scan デジタル咬合治療 | ¥330,000 | – | ¥330,000 |
| インプラント治療 | ¥260,000 | 3 | ¥780,000 |
| インプラント用セラミック | ¥440,000 | 3 | ¥1,320,000 |
| セラミッククラウン | ¥200,000 | 7 | ¥1,400,000 |
| 合計 | ¥3,885,000 | ||




